안녕하세요. 참밝은미소치과 대표원장 전진입니다.
이번 글에서는 입술 돌출(protrusion)과 하악 전치부 crowding으로 내원한 환자 증례를 소개해드리겠습니다.
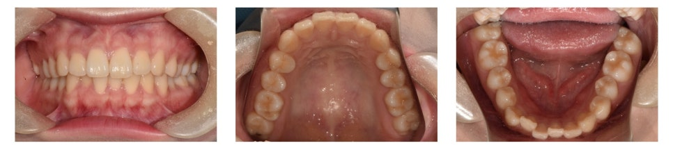
👩 환자 내원
만 18세 여자 환자가 입이 튀어나온 것과 아래 치아가 삐뚤빼뚤하다는 고민으로 찾아왔습니다.


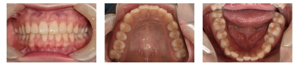
초진 사진을 보면,
▶ 상악 치아는 고른 편이었고,
▶ 하악은 **전치부에 총생(crowding)**이 있었으며,
▶ **입술 돌출감(protrusion)**이 뚜렷하게 관찰되었습니다.
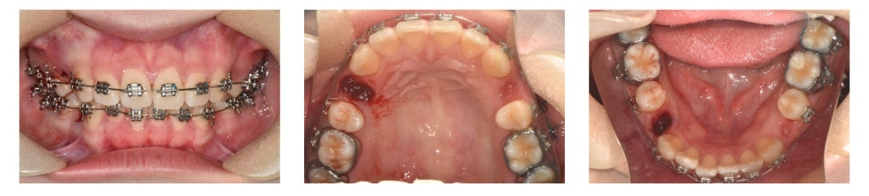
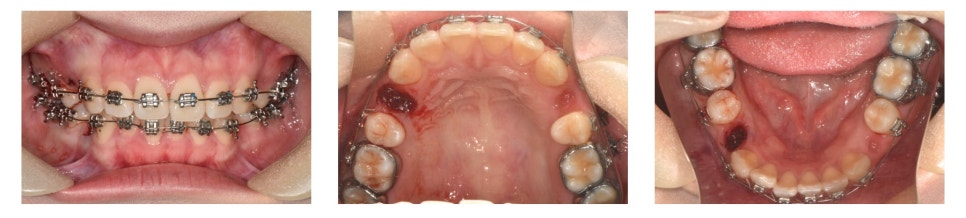
🦷 발치 및 장치 부착
입술 돌출감을 개선하기 위해 상·하악 제1소구치를 발치하고 교정 치료를 시작하였습니다.

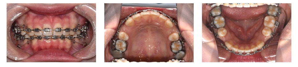
🦷 교정용 미니스크류 활용
어느 정도 배열이 완료된 후, 남아 있는 발치 공간을 닫으면서 입술 돌출감을 최대한 개선하기 위해 **교정용 미니스크류(miniscrew)**를 식립하였습니다.

교정용 미니스크류는 작은 나사 형태의 고정원으로,
치아를 원하는 방향으로 정확하게 이동시킬 수 있게 도와주는 장치입니다.
특히 입술 돌출이 심한 환자에서는 앞니를 충분히 후방으로 이동시킬 수 있어 매우 효과적입니다.
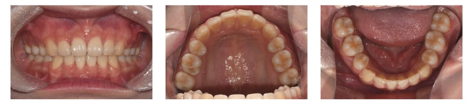
📈 치료 결과
약 2년 3개월 후 치료를 종료하였습니다.


입술 돌출감이 개선되면서 보다 조화롭고 심미적인 옆모습을 보였습니다.
치아 배열 또한 고르게 정리되었으며, 환자 역시 치료 결과에 매우 만족하였습니다.
앞으로도 다양한 연령대와 다양한 케이스의 교정 치료 증례를 소개해드리겠습니다.
감사합니다.
참밝은미소치과 드림
👉 교정 전문의가 책임지는 올바른 교정 치료, 참밝은미소치과에서 만나보세요.
치료시작일 : 2018년 8월 22일, 치료종료일 : 2020년 11월 11일
본 치료와 관련하여 발생가능한 부작용과 합병증은 다음과 같습니다 : 치근흡수, 치은퇴축, 치열의 변화 등
의료법 준수안내
본 포스팅의 내용은 의료법과 보건복지부 의료광고
가이드라인을 준수하여 작성되었습니다.
치료방법에 대해 궁금한 환자분들의 이해를 돕고
정보를 제공하기위한 목적으로
치과교정과 전문의/통합치의학과 전문의 전진 원장이 직접 작성하였습니다.
구체적인 치료계획과 진단은 담당 의료진과
충분한 상담 후 결정하시기 바랍니다.
| 번호 | 제목 | 글쓴이 | 날짜 | 조회 수 |
|---|---|---|---|---|
| » |
[광명 치아교정/참밝은미소치과]🦷 입이 튀어나왔어요
| admin | 2025.11.28 | 194 |
| 3 |
[광명 치아교정/참밝은미소치과]🦷 앞니 사이가 벌어졌어요
| admin | 2025.11.28 | 225 |
| 2 |
[광명 치아교정/참밝은미소치과]🦷 앞니가 튀어나왔어요
| admin | 2025.11.27 | 207 |
| 1 |
[광명 치아교정/참밝은미소치과]🦷 치아가 삐뚤빼뚤해요
| admin | 2025.11.27 | 204 |