안녕하세요, 참밝은미소치과 대표원장 전진입니다.
이번 글에서는 환자분들이 치아 교정을 받으려는 주된 이유 중 하나인 crowding(총생) 증례를 소개해드리겠습니다.
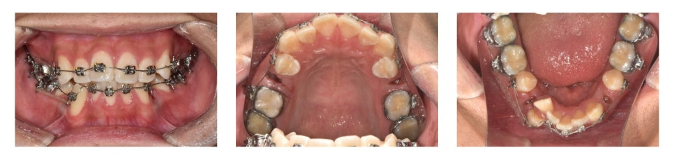
👦 환자 내원
13세 남학생이 치아가 삐뚤빼뚤하다는 고민으로 찾아왔습니다.

🦷 치료 계획 및 진행
치아 배열 공간을 확보하기 위해
상악 제2소구치
하악 제1소구치
를 발치하였습니다. 이후 **브라켓(bracket)과 밴드(band)**를 부착하여 치아 배열을 진행하였습니다.

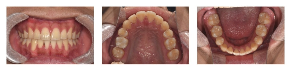
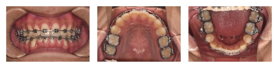
📸 치료 1년 후

치료를 시작한 지 약 1년이 지난 시점의 사진입니다.
치아가 많이 배열된 것을 확인할 수 있습니다.
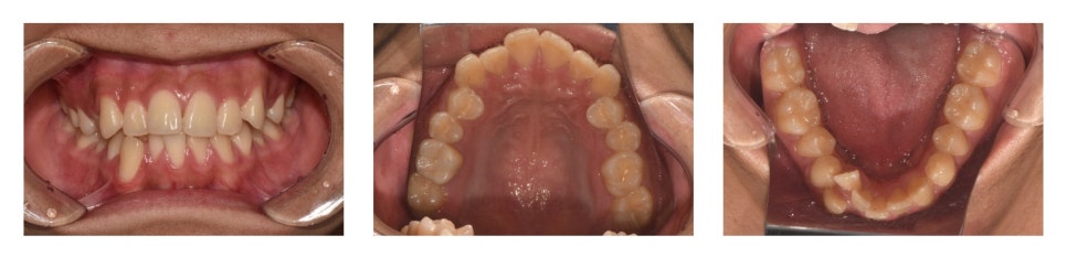
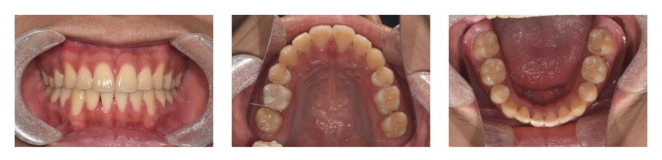
📈 치료 결과
약 2년간의 교정 치료 끝에 치료를 완료하였습니다.

치료가 끝난 후 사진을 보면, 처음에는 겹쳐 있던 치아들이 고르게 배열된 것을 확인할 수 있습니다.
심미적으로 만족스러울 뿐만 아니라, 구강 위생 관리도 훨씬 용이해졌습니다.
무엇보다 환자와 보호자 모두 치료 결과에 매우 만족해하셨습니다.
앞으로도 다양한 증례를 통해 교정 치료의 실제 과정을 소개해드리겠습니다.
감사합니다.
참밝은미소치과 드림
👉 교정 전문의가 책임지는 올바른 교정 치료, 참밝은미소치과에서 만나보세요.
치료시작일 : 2018년 10월 31일, 치료종료일 : 2020년 11월 2일
본 치료와 관련하여 발생가능한 부작용과 합병증은 다음과 같습니다 : 치근흡수, 치은퇴축, 치열의 변화 등
의료법 준수안내
본 포스팅의 내용은 의료법과 보건복지부 의료광고
가이드라인을 준수하여 작성되었습니다.
치료방법에 대해 궁금한 환자분들의 이해를 돕고
정보를 제공하기위한 목적으로
치과교정과 전문의/통합치의학과 전문의 전진 원장이 직접 작성하였습니다.
구체적인 치료계획과 진단은 담당 의료진과
충분한 상담 후 결정하시기 바랍니다.
| 번호 | 제목 | 글쓴이 | 날짜 | 조회 수 |
|---|---|---|---|---|
| 4 |
[광명 치아교정/참밝은미소치과]🦷 입이 튀어나왔어요
| admin | 2025.11.28 | 183 |
| 3 |
[광명 치아교정/참밝은미소치과]🦷 앞니 사이가 벌어졌어요
| admin | 2025.11.28 | 215 |
| 2 |
[광명 치아교정/참밝은미소치과]🦷 앞니가 튀어나왔어요
| admin | 2025.11.27 | 197 |
| » |
[광명 치아교정/참밝은미소치과]🦷 치아가 삐뚤빼뚤해요
| admin | 2025.11.27 | 191 |