안녕하세요. 참밝은미소치과 대표원장 전진입니다.
이번 글에서는 아래 앞니 사이의 공간(spacing)과 deep bite로 내원한 환자 증례를 소개해드리겠습니다.
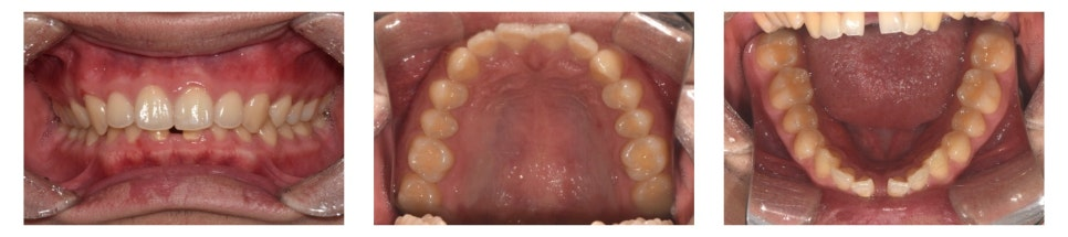
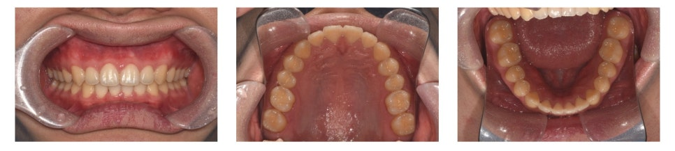
👨 환자 내원
만 21세 남자 환자가 아래 앞니가 벌어졌다는 고민으로 찾아왔습니다.

초진 구내 사진을 보면,
▶ 아래 앞니 사이가 많이 벌어진 상태(spacing)
▶ 앞니가 깊게 물려 있는 상태(deep bite)
를 확인할 수 있었습니다.
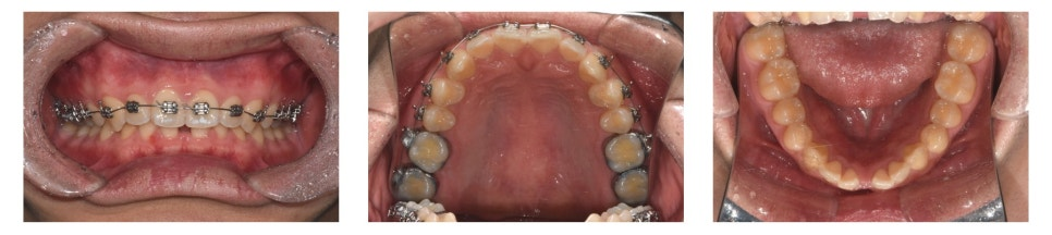
🦷 치료 시작
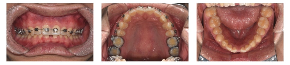
브라켓(bracket)과 밴드(band)를 부착하여 치아 배열을 진행하였습니다.

깊게 물리는 상태라 하악 치아에 장치를 바로 부착하면 상악 치아에 걸릴 수 있었습니다.
따라서 상악 먼저 장치를 부착하여 배열을 시작했습니다.
약 4개월 후 상악 배열이 어느 정도 진행되면서, 하악에도 장치를 부착할 수 있는 공간이 확보되었습니다.

이후 하악에도 장치를 부착하여 배열을 진행했습니다.
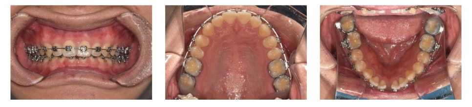
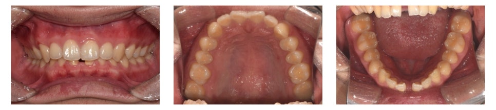
📸 치료 1년 후
치료 시작 약 1년 후 모습입니다.

하악 중절치 사이의 공간(spacing)이 거의 닫혔고, deep bite 역시 많이 개선된 모습을 볼 수 있습니다.
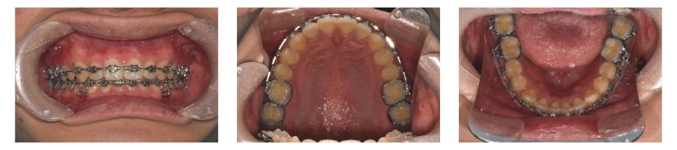
📈 치료 결과
치료 시작 약 1년 4개월 후 치료를 완료하였습니다.

치료 전에는 눈에 띄게 벌어져 있던 하악 전치부의 공간(spacing)이 정상적으로 배열되었고, deep bite도 개선되어 기능적으로 안정된 교합을 얻을 수 있었습니다.
환자 또한 치료 결과에 매우 만족하였습니다.
앞으로도 실제 교정 치료 과정을 통해 환자분들께 도움이 되는 증례를 소개해드리겠습니다.
감사합니다.
참밝은미소치과 드림
👉 교정 전문의가 책임지는 올바른 교정 치료, 참밝은미소치과에서 만나보세요.
치료시작일 : 2019년 5월 17일, 치료종료일 : 2020년 8월 21일
본 치료와 관련하여 발생가능한 부작용과 합병증은 다음과 같습니다 : 치근흡수, 치은퇴축, 치열의 변화 등
의료법 준수안내
본 포스팅의 내용은 의료법과 보건복지부 의료광고
가이드라인을 준수하여 작성되었습니다.
치료방법에 대해 궁금한 환자분들의 이해를 돕고
정보를 제공하기위한 목적으로
치과교정과 전문의/통합치의학과 전문의 전진 원장이 직접 작성하였습니다.
구체적인 치료계획과 진단은 담당 의료진과
충분한 상담 후 결정하시기 바랍니다.
| 번호 | 제목 | 글쓴이 | 날짜 | 조회 수 |
|---|---|---|---|---|
| 4 |
[광명 치아교정/참밝은미소치과]🦷 입이 튀어나왔어요
| admin | 2025.11.28 | 183 |
| » |
[광명 치아교정/참밝은미소치과]🦷 앞니 사이가 벌어졌어요
| admin | 2025.11.28 | 215 |
| 2 |
[광명 치아교정/참밝은미소치과]🦷 앞니가 튀어나왔어요
| admin | 2025.11.27 | 197 |
| 1 |
[광명 치아교정/참밝은미소치과]🦷 치아가 삐뚤빼뚤해요
| admin | 2025.11.27 | 191 |