안녕하세요. 참밝은미소치과 대표원장 전진입니다.
이번 글에서는 앞니 돌출(large overjet)과 deep bite로 내원한 환자 증례를 소개해드리겠습니다.
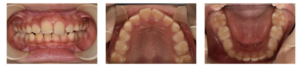
👦 환자 내원
만 8세 남학생이 앞니가 남들보다 더 크고 돌출된 것 같다는 고민으로 찾아왔습니다.

초진 구내 사진을 보면,
▶ 위·아래 앞니가 살짝 삐뚤빼뚤한 상태(crowding)
▶ 상악 전치부가 많이 튀어나와 있는 모습(large overjet)
▶ 깊게 물려서 상악 전치부가 하악 전치부를 많이 덮고 있는 상태(deep bite)
를 확인할 수 있었습니다.
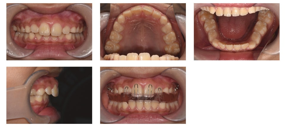
🦷 초기 치료: 공간 확보
먼저 공간을 확보하기 위해 **가철성 장치(active plate)**를 착용하였습니다.

📸 유지 기간 관찰
치료 시작 3~4개월 후 구내 사진

약 3~4개월간의 확장 치료 후, 삐뚤빼뚤했던 상·하악 전치부에 공간이 생긴 것을 확인할 수 있었습니다.
이후 확장을 멈추고, 확보된 공간을 유지하기 위해 유지 장치를 제작하여 장착했습니다.
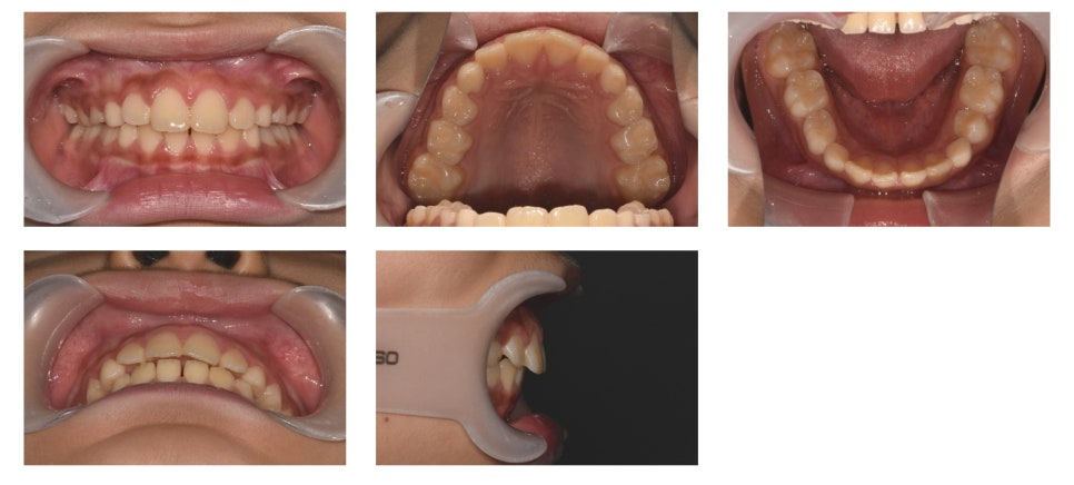
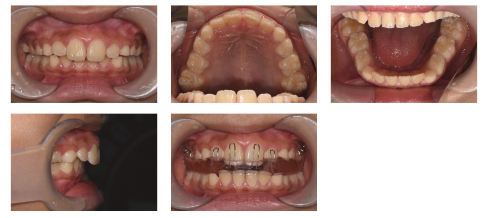
🦷 후기 치료: 하악 성장 촉진
유지 장치 착용 5개월 후 구내 사진 및 activator 장착 사진

약 5개월간 유지 장치를 착용한 후의 구내 사진입니다.
상악 전치부가 하악 전치부에 비해 많이 튀어나와 있는 부분은 아직 교정되지 않은 상태였습니다.
이를 개선하기 위해 하악골 성장을 촉진시키는 activator 장치 착용을 시작했습니다.
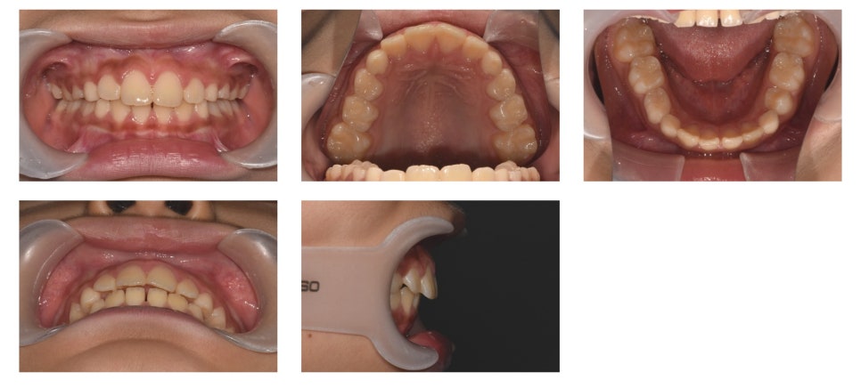
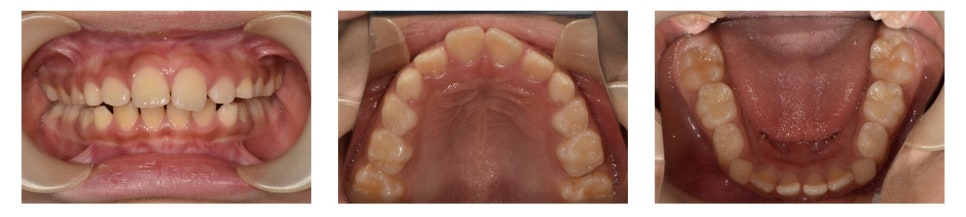
📈 치료 결과

Activator 착용 후 약 1년이 지난 시점, 치료를 종료하였습니다.
치료 전에는 돌출되어 있던 상악 전치부가 눈에 띄게 개선된 것을 확인할 수 있습니다.
무엇보다 환자와 보호자 모두 치료 결과에 매우 만족하셨습니다.
앞으로도 다양한 연령대의 교정 치료 증례를 소개해드리며, 환자분들께 도움이 되는 정보를 전달드리겠습니다.
감사합니다.
참밝은미소치과 드림
👉 교정 전문의가 책임지는 올바른 교정 치료, 참밝은미소치과에서 만나보세요.
👉 성장기에는 적절한 시기의 교정 치료가 큰 변화를 만들어낼 수 있습니다.
치료시작일 : 2018년 9월 21일, 치료종료일 : 2020년 7월 14일
본 치료와 관련하여 발생가능한 부작용과 합병증은 다음과 같습니다 : 치근흡수, 치은퇴축, 치열의 변화 등
의료법 준수안내
본 포스팅의 내용은 의료법과 보건복지부 의료광고
가이드라인을 준수하여 작성되었습니다.
치료방법에 대해 궁금한 환자분들의 이해를 돕고
정보를 제공하기위한 목적으로
치과교정과 전문의/통합치의학과 전문의 전진 원장이 직접 작성하였습니다.
구체적인 치료계획과 진단은 담당 의료진과
충분한 상담 후 결정하시기 바랍니다.
| 번호 | 제목 | 글쓴이 | 날짜 | 조회 수 |
|---|---|---|---|---|
| 4 |
[광명 치아교정/참밝은미소치과]🦷 입이 튀어나왔어요
| admin | 2025.11.28 | 170 |
| 3 |
[광명 치아교정/참밝은미소치과]🦷 앞니 사이가 벌어졌어요
| admin | 2025.11.28 | 206 |
| » |
[광명 치아교정/참밝은미소치과]🦷 앞니가 튀어나왔어요
| admin | 2025.11.27 | 187 |
| 1 |
[광명 치아교정/참밝은미소치과]🦷 치아가 삐뚤빼뚤해요
| admin | 2025.11.27 | 184 |