안녕하세요. 참밝은미소치과 대표원장 전진입니다.
오늘은 30대 여성 환자분의 치아미백 치료 사례를 소개해드리겠습니다.
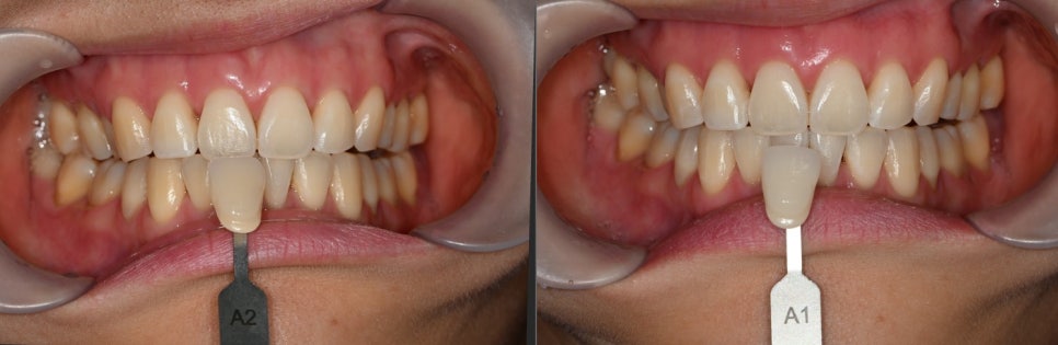
👩 환자 내원
환자분께서는
“커피를 자주 마셔서 치아색이 어두워진 것 같다”며
보다 밝고 깨끗한 인상을 만들고 싶다는 이유로 내원하셨습니다.
진단 결과, 전반적인 구강 상태는 양호했으나
치은퇴축(잇몸이 내려간 상태) 부위가 일부 확인되었습니다.
이에 따라 미백제를 도포할 때 자극이 가지 않도록 조심하며,
광조사 강도와 도포 시간도 세심하게 조절하며 시술을 진행했습니다.
💡 1회 미백 시술 후 변화

1회 미백 시술 후,
전체적으로 톤이 한 단계 이상 밝아진 자연스러운 변화가 나타났습니다.
치아 본연의 투명함은 유지되면서
깨끗하고 균일한 색상으로 개선되었고,
무엇보다 시림 증상 없이 편안하게 시술을 마치셨습니다.
환자분께서는 결과에 만족하시며,
“이 정도면 충분히 밝아졌다”고 말씀하셨습니다.
🦷 참밝은미소치과의 미백 원칙
일반적으로 2회 시술을 권장드립니다.
2회 시술 시 밝기가 더 고르게 정리되고
유지력 또한 높아지는 경향이 있습니다.
하지만 1회만으로도 만족하시는 경우에는 치료를 종료하기도 합니다.
참밝은미소치과는
‘더 밝게’보다 ‘더 안전하고 자연스럽게’를 우선으로,
환자 개개인의 상태와 만족도를 기준으로 치료를 결정합니다.
😊 마무리하며
이번 사례처럼,
치은퇴축이 있는 분들도 전문의의 세심한 조절과 진단을 통해
시림 없이 안전하게 미백 치료를 받을 수 있습니다.
치아미백은 단순한 미용 시술이 아니라
자신감 있고 건강한 미소를 만드는 과정입니다.
참밝은미소치과는
전문의가 직접 시술하며,
환자분의 치아 상태와 목표에 맞춘 맞춤형 미백 프로그램으로
안전하고 만족스러운 결과를 제공합니다.
감사합니다.
참밝은미소치과 대표원장 전진 드림
👉 시림 걱정 없는 안전한 미백, 참밝은미소치과에서 만나보세요.
👉 자연스럽고 밝은 미소의 시작, 참밝은미소치과입니다.
치료시작일 : 2025년 10월 27일, 치료종료일 : 2025년 10월 27일
본 치료와 관련하여 발생가능한 부작용과 합병증은 다음과 같습니다 : 치아 시림, 치은 염증 등
의료법 준수안내
본 포스팅의 내용은 의료법과 보건복지부 의료광고
가이드라인을 준수하여 작성되었습니다.
치료방법에 대해 궁금한 환자분들의 이해를 돕고
정보를 제공하기위한 목적으로
치과교정과 전문의/통합치의학과 전문의 전진 원장이 직접 작성하였습니다.
구체적인 치료계획과 진단은 담당 의료진과
충분한 상담 후 결정하시기 바랍니다.
| 번호 | 제목 | 글쓴이 | 날짜 | 조회 수 |
|---|---|---|---|---|
| » |
[광명 치아미백/참밝은미소치과]😁 치아미백 1회 후, 밝아진 미소
| admin | 2025.11.28 | 231 |
| 1 |
[광명 치아미백/참밝은미소치과]😁 치아미백, 밝고 깨끗한 미소를 되찾다
| admin | 2025.11.28 | 209 |