안녕하세요. 참밝은미소치과 대표원장 전진입니다.
오늘은 많은 분들이 관심 갖고 계신 치아미백(Teeth Whitening) 치료에 대해 소개해드리겠습니다.
✨ 치아미백이란?
치아미백은 치아 표면의 착색물질을 제거하고,
치아 내부에 있는 색소 성분을 분해하여 자연스럽고 밝은 색조로 회복시키는 시술입니다.
치아 색은 음식, 음료(커피, 차, 와인 등), 흡연, 노화 등 다양한 이유로 변색될 수 있습니다.
이런 경우 미백 치료를 통해 보다 환하고 깨끗한 미소를 되찾을 수 있습니다.
🦷 치아미백의 종류
1️⃣ 전문가 미백 (Professional Whitening)
치과에서 고농도의 미백제와 특수 광선을 이용해 단시간에 시술하는 방법입니다.
짧은 시간 안에 눈에 띄는 밝기 변화를 기대할 수 있으며,
전문의의 세심한 관리 아래 안전하게 진행됩니다.
→ 특징: 빠른 효과, 높은 안전성, 단기간 결과
→ 추천: 결혼식·면접·촬영 등 중요한 일정이 있는 분
2️⃣ 자가 미백 (Home Whitening)
맞춤 트레이를 제작해 집에서 미백제를 도포하는 방식으로,
전문가 미백 후 밝아진 치아색을 유지하거나 미세한 톤 조절을 원할 때 사용합니다.
치아 변색의 정도가 크지 않은 경우에도 도움이 될 수 있습니다.
→ 특징: 매일 약 4시간씩, 10일간 시행 / 색상 유지에 효과적
→ 추천: 전문가 미백 후 유지 관리가 필요한 분
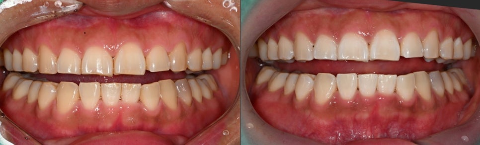
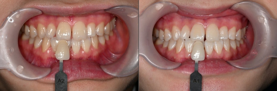
📸 실제 미백 증례
케이스 ①

20대 여성 환자입니다.
전문가 미백 1회 시술 후, 자연스럽고 밝은 톤으로 개선되었습니다.
케이스 ②

30대 남성 환자입니다.
전문가 미백 2회 시술 후, 이전보다 훨씬 깨끗하고 밝은 인상으로 변화하였습니다.
두 케이스 모두 짧은 시술 시간 안에 눈에 띄는 변화를 체감하셨으며,
자연스러운 색상 변화에 매우 만족하셨습니다.
💡 미백 시 주의사항 및 관리법
▶ 시술 직후 24~48시간은 착색 음료(커피, 홍차, 와인 등) 및 **색이 진한 음식(김치, 카레 등)**을 피해주세요.
▶ 미백 후 일시적인 시림 증상이 생길 수 있으나, 대부분 1~2일 내 자연스럽게 완화됩니다.
▶ 정기적인 스케일링과 유지 관리로 밝은 치아색을 오래 유지할 수 있습니다.
😊 마무리하며
치아미백은 단순한 미용 시술을 넘어,
자신감 있는 미소와 긍정적인 인상을 만들어주는 치료입니다.
참밝은미소치과에서는 환자분의 치아 상태와 생활습관을 고려하여
전문의가 직접 시술하는 안전하고 효과적인 미백 프로그램을 제공합니다.
감사합니다.
참밝은미소치과 대표원장 전진 드림
👉 전문의가 직접 시술하는 안전한 치아미백, 참밝은미소치과에서 만나보세요.
증례1 치료시작일 : 2025년 10월 23일, 치료종료일 : 2025년 10월 23일
증례2 치료시작일 : 2025년 10월 16일, 치료종료일 : 2025년 10월 22일
본 치료와 관련하여 발생가능한 부작용과 합병증은 다음과 같습니다 : 치아 시림, 치은 염증 등
의료법 준수안내
본 포스팅의 내용은 의료법과 보건복지부 의료광고
가이드라인을 준수하여 작성되었습니다.
치료방법에 대해 궁금한 환자분들의 이해를 돕고
정보를 제공하기위한 목적으로
치과교정과 전문의/통합치의학과 전문의 전진 원장이 직접 작성하였습니다.
구체적인 치료계획과 진단은 담당 의료진과
충분한 상담 후 결정하시기 바랍니다.
| 번호 | 제목 | 글쓴이 | 날짜 | 조회 수 |
|---|---|---|---|---|
| 2 |
[광명 치아미백/참밝은미소치과]😁 치아미백 1회 후, 밝아진 미소
| admin | 2025.11.28 | 231 |
| » |
[광명 치아미백/참밝은미소치과]😁 치아미백, 밝고 깨끗한 미소를 되찾다
| admin | 2025.11.28 | 209 |